病的近視における脈絡膜新生血管とは

    病的近視における脈絡膜新生血管とは

    病的近視における脈絡膜新生血管(みゃくらくまくしんせいけっかん)は病的近視の方の5~10%に起こる病気で、眼底(がんてい)で出血やむくみを生じる病気です。現在、治療法は大きく進歩し、きちんと治療を続ければ、症状の改善が期待できるようになりました。

    正常な状態

    正常な状態と病的近視における脈絡膜新生血管の比較図

    病的近視における脈絡膜新生血管

    正常な状態と病的近視における脈絡膜新生血管の比較図

    日本における近視性網膜症

    日本人の近視性網膜症の有病率は1.7%と報告されています。男性に比べて女性の有病率は約2倍です。

    ■日本人の近視性網膜症※の頻度

     人数(人)近視性網膜症(%)
    男性9/7761.2
    女性24/1,1162.2
    合計33/1,8921.7

    安田 美穂,Monthly Book OCULISTA 2013;4: 11-16より改変
    ※:本研究における近視性網膜症の定義はびまん性萎縮病変、限局性萎縮病変、
    ラッカークラック(ブルッフ膜の断裂)近視性黄斑変性(黄斑部萎縮)のうち、少なくとも1つがみられるものです。

    近視と病的近視

    近視はアジア人では約40%にみられます。病的近視は、近視のなかでも眼の前後の長さが伸びているため、さまざまな眼底の病気を伴うものをさします。眼の前後の長さは小児期から青年期にかけて延長します。

    ■アジア人の近視の割合

    アジア人の近視の割合

    安田 美穂,Monthly Book OCULISTA 2013;4: 11-16
    Wong TY et al., Am J Ophthalmol 2014; 157:9-25より改変

    脈絡膜新生血管は、眼底(がんてい)で 出血やむくみを生じる病気なんだね

    脈絡膜新生血管は、眼底(がんてい)で
    出血やむくみを生じる病気なんだね

    ものが見える仕組み

    目に入った光は、水晶体(すいしょうたい)などで屈折し、網膜(もうまく)に達した後、脳で認識されます。カメラにたとえると、水晶体はレンズ、網膜はフィルムのはたらきをしています。

    人の仕組みとカメラの仕組みの比較図

    <人の仕組み>

    人の仕組みとカメラの仕組みの比較図

    <カメラの仕組み>

    視力の大切な役割を担う「黄斑」

    網膜の正面からみると、ほぼまん中に、黄斑(おうはん)と呼ばれるほかの部分より少し黄色く見える部分があります。黄斑はものの詳細を見分けたり、文字を読んだりするのにとても大切な場所です。
    網膜の最外側には網膜色素上皮があり、その外側にブルッフ膜、脈絡膜などがあります。

    正常な黄斑

    <正常な黄斑>

    黄斑はものの詳細を見分けたり、文字を読んだりするのにとても大切な場所なんだ

    黄斑はものの詳細を見分けたり、文字を読んだりするのにとても大切な場所なんだ

    見え方の変化

    脈絡膜新生血管が起こると、新生血管からの出血や、もれ出た血液成分(滲出液)があるため、見えない部分ができたり、ゆがみが生じたりします。

    <ゆがんで見える>

    ゆがんで見える

    <見えない部分がある>

    見えない部分がある
    網膜に出血やむくみがあるから 見えない部分やゆがみが生じるんだね

    網膜に出血やむくみがあるから
    見えない部分やゆがみが生じるんだね

    眼科の検査

    病的近視における脈絡膜新生血管を診断するため、もしくは治療の経過をみるために、主に次のような検査が行われます。

    ・視力検査

    指定の距離から、視力検査表を片眼ずつ見て、どの大きさまで見えるか調べます。
    見えにくい場合は、検査表に近づいて測定します。

    視力検査の図

    ・眼底検査

    目の奥に光りをあてて、網膜を直接観察します。
    網膜の血管の様子、出血や網膜のむくみ(黄斑浮腫)の状態を見ることができます。

    <正常>

    眼底検査の図 正常

    <病的近視における脈絡膜新生血管>

    眼底検査の図 病的近視における脈絡膜新生血管

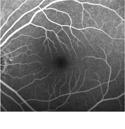
    ・蛍光眼底造影

    蛍光色素の入った造影剤を腕の静脈から注射して、眼底カメラで眼底の血管を観察します。
    血管の形や位置、血管からの血液中の水分のもれ具合などがわかります。

    <正常>

    蛍光眼底造影の図 正常

    <病的近視における脈絡膜新生血管>

    蛍光眼底造影の図 病的近視における脈絡膜新生血管

    ※検査の際には造影剤を注射するため、まれに吐き気や嘔吐、アレルギー反応などの副作用が起きることがあります。
    検査中に何か異常を感じたら、速やかに医師に伝えてください。

    ・光干渉断層計(OCT)

    網膜は層構造になっており、その層構造を断面的に観察する検査です。
    網膜のむくみ(黄斑浮腫)の状態がわかります。

    <正常>

    光干渉断層計(OCT)の図 正常

    <病的近視における脈絡膜新生血管>

    光干渉断層計(OCT)の図 病的近視における脈絡膜新生血管

    ・その他の検査

    屈折検査や眼の長さの検査などを行うことがあります。

    自分の症状を知るためにも、まず検査! 気になったらすぐ病院へ!

    自分の症状を知るためにも、まず検査!
    気になったらすぐ病院へ!

    病的近視における脈絡膜新生血管の治療法

    病的近視における脈絡膜新生血管に対して、現在行われている主な治療法は以下のものがあります。

    抗VEGF薬治療

    病的近視における脈絡膜新生血管の発生にはVEGFという物質が関与しています。そのため、VEGFのはたらきを抑えるお薬を目に注射します。

    網膜光凝固術

    レーザー光線を網膜の新生血管のあるところに照射し、新生血管の成長を止めます。

    黄斑移動術

    黄斑の中心部にある「中心窩」を移動させてしまう手術法です。

    新生血管抜去術

    網膜の一部を切開して、新生血管を直接抜き取ってしまう手術です。

    現在は抗VEGF薬治療が 主流になっているようだね

    現在は抗VEGF薬治療が
    主流になっているようだね

    監修 九州大学 総長 石橋 達朗 先生
    福岡歯科大学 総合医学講座 眼科学分野 教授 大島 裕司 先生